
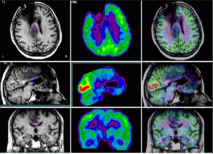
Képfúzió:
Funkcionális és azonos helyzetű strukturális kép együttes
bemutatása
Alacsony malignitású glioma újrafejlődése: [F-18] FDG PET
Az MR-rel az agytumor műtéti eltávolítása után 2 évvel kimutatott középvonali laesio nem dúsítja az FDG –t, ezért alacsony malignitási fokú tumornak, esetleg hegszövetnek tarható:

C-11 Metionin PET
Az előző képeken az FDG-t nem dúsító laesio intenzíven halmozza a metionint, ami alacsony malignitási
fokú tumor-recidiva (és nem hegszövet ) mellett szól:

